
Для этого достаточно сделать простой анализ крови на митохондрии.
О том, как простой анализ крови поможет выявить пациентов с высоким риском тяжелых заболеваний COVID-19, рассказали ученые из Медицинской школы Вашингтонского университета (WUSL). В опубликованной на университетском портале научной статье говорится о том, как тяжесть протекания болезни зависит от уровня митохондриальной ДНК в крови зараженных.

Одним из наиболее неприятных аспектов пандемии COVID-19 является неспособность врачей предсказать, у каких именно госпитализированных пациентов будет развиваться тяжелое заболевание с осложнениями, требующие введения дыхательной трубки, диализа почек или другой интенсивной терапии, отмечают ученые из Вашингтонского университета. Знание возраста пациента и основных медицинских состояний может помочь в прогнозах, но у врачей все еще случаются «сюрпризы», когда молодые, и казалось бы, здоровые пациенты страдают тяжелыми формами ковида с осложнениями, которые могут привести к смерти.

Чтобы разработать эффективный метод прогнозирования, американские ученые провели эксперимент. В нем приняли участие 97 человек, заболевших ковидом. В течение нескольких дней у них брали кровь на анализ уровня митохондриальной ДНК. Как оказалось впоследствии, у пациентов, тест крови которых в первый день эксперимента показал высокий уровень митохондрий, наступила смерть или интубация. При этом авторы исследования не обнаружили зависимости митохондриальной ДНК от возраста, пола или состояния здоровья.

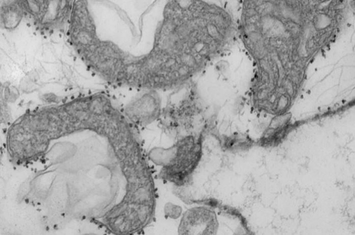
«Уровни митохондриальной ДНК являются мерой повреждения ткани. На фото - поврежденные митохондрии (темно-серые участки), высвобождающиеся из легких человека. Маленькие темные точки, окружающие митохондрии, представляют собой магнитные шарики, которые несут антитела, используемые для выделения и изучения нездоровых митохондрий, которые были высвобождены из умирающих тканей», - пишут авторы исследования.
В итоге американские ученые пришли к выводу о том, что митохондриальная ДНК, выливающаяся из клеток и в кровоток, является признаком того, что в организме происходит определенный тип насильственной гибели клеток.

Ранее «Блокнот» сообщал о том, что американские ученые из Массачусетского технологического института обнаружили интересную особенность вируса COVID-19. Оказывается, он может встраиваться в клетки ДНК человека. Такое свойство, по мнению американских исследователей, существенно осложняет лечение заболевания.
Другая группа американских ученых из Вашингтонского университета в Сент-Луисе открыла, что вирус ковида убивает в пять раз чаще, чем обычный ОРВИ.







