Из желудка жителя южнокорейского города Коян извлекли около двух килограммов камней, крышек от бутылок и монет. Об этом сообщает издание Daily Mail.
54-летний мужчина обратился к врачу с жалобой на боль в животе. Его живот был раздут, а при пальпации под кожей ощущались объекты, напоминающие мелкие камни. Пациент признался, что часто глотает монеты и гравий, чтобы успокоиться.
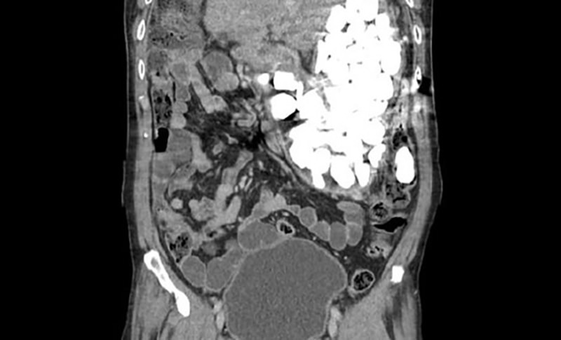
Рентген показал, что его желудок полностью заполнен инородными телами. Первоначально проглоченные предметы планировали извлечь при помощи гастроскопа, однако их оказалось слишком много. Чтобы вынуть камни, бутылочные крышки и монеты, понадобилась хирургическая операция. Мужчина провел в больнице девять дней.
В 2018 году сообщалось, что в пищеварительном тракте жительницы Индии нашли полтора килограмма различных предметов, в том числе орехи, болты и ювелирные украшения. Врачи полагают, что женщина страдала акуфагией — редким психическим расстройством, вызывающим желание глотать острые предметы.
Самое интересное:




